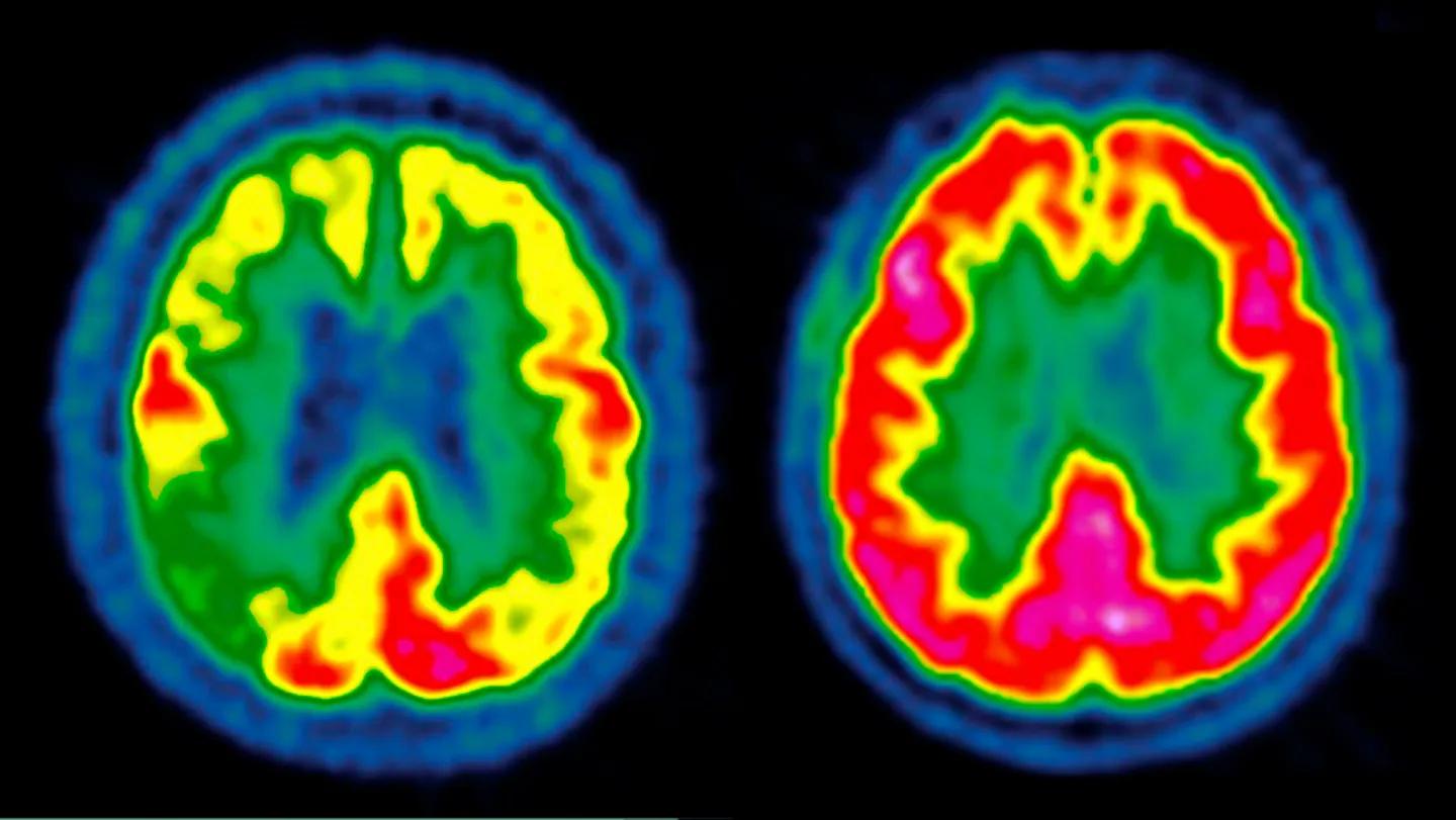
Tantalizing results from small trials and anecdotes raised hopes that drugs like Ozempic could help. Despite setbacks, researchers aren’t giving up yet.
Continue Reading
News Source: www.sciencenews.org

Tantalizing results from small trials and anecdotes raised hopes that drugs like Ozempic could help. Despite setbacks, researchers aren’t giving up yet.
News Source: www.sciencenews.org
Leave a Reply